Tandregulering og plast

      

Implantatbehandling

               

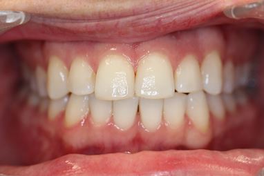
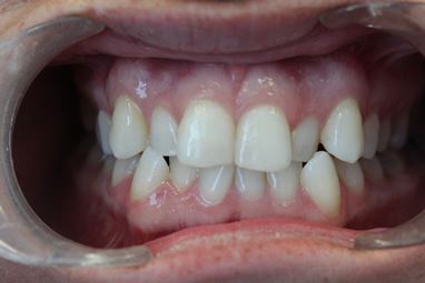
Plast

          

Bidhævning og porcelænskroner

          

Tandkødsoperation og porcelænsbro

          

Plast

          

Plast

          

Plast

          

Bidhævning porcelænskroner og broer

          

Tandregulering

          

          

Tandregulering